- 产地:
- 日本
- 型号:
- SC180
SC180 Microscope Digital Camera
逼真的屏幕再现显微图像高分辨率1800万像素SC180彩色显微专用相机让样品细节与结构纤毫毕现。
SC180相机像素几乎达到标准显微镜相机的四倍,因此您可利用物镜的全分辨率观察样品的细节和结构。

人类肾脏的横截面:中间图像为使用标准相机(UPLSAPO10X,1X TV适配器)采集图像的细节放大,左侧图像为使用SC180 1800万像素相机(UPLSAPO10X,1X TV适配器)采集图像的细节放大。
4K UHD SC180数码相机可让您以每秒25帧(fps)的帧率在屏幕上实时查看样品细节。

脑干| 20倍放大

结肠| 20倍放大

包含念珠菌的肾脏| 10倍放大

肝脏 | 10倍放大

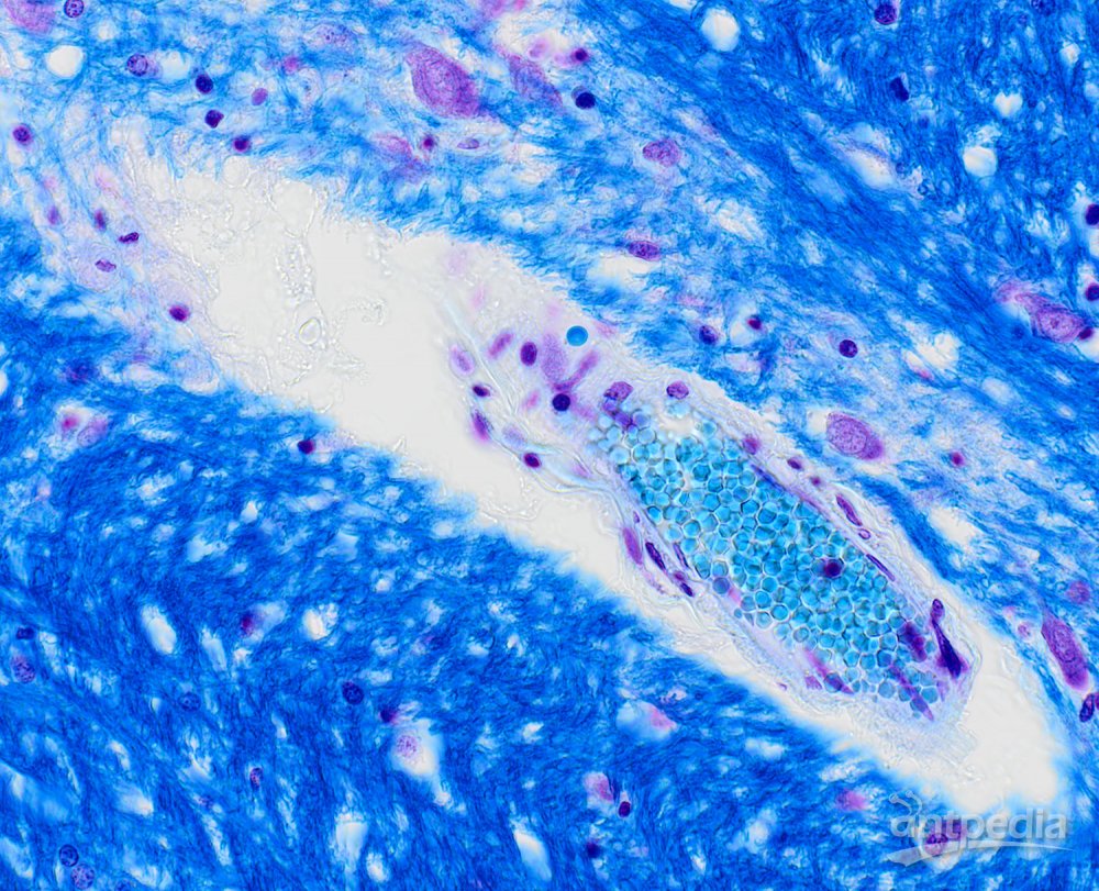
脊髓| 20倍放大
采集出色的显微图像无论成像条件如何,智能图像平均(OSIA)均可产生经过精确色彩还原的低噪声图像
自动白平衡(AWB)可自动将合适白平衡应用于图像,以消除色偏。
专用色彩还原技术
预定义色彩模式可根据不同应用要求对相机进行自定义。

技术参数
| 图像传感器 | 1/2.3 英寸 彩色 CMOS |
|---|---|
| 分辨率(最大) | 4912 (W) x 3684 (H) 像素 (4:3), 3840 (W) × 2160 (H) 像素 (4K UHD 16:9), 1920 (W) × 1080 (H) 像素 (Full HD 16:9) |
| 像素大小 | 1.25 × 1.25 μm |
| 像素融合 | 2 × 2 4 × 4 |
| A/D | 12位 |
| 曝光时间 | 22 μs–1 s |
| 实时帧速 | 10.5 fps at 4,912 × 3,684 pixels (4:3) 23.6 fps at 2,456 × 1,842 pixels (4:3) 45 fps at 1,224 × 920 pixels (4:3) 14 fps at 4,912 × 2,762 pixels (16:9) 25 fps at 3,840 × 2,160 pixels (4K UHD 16:9) 31 fps at 1,920 × 1,080 pixels (Full HD 16:9) 59 fps at 1,224 × 688 pixels (16:9) |
| 冷却系统 | 被动制冷 |
| 外部触发器 | - |
| 数据传输 | USB 3.0 |
| 部分读出 | ✓ |
| PC控制 | Windows 10 64 bit Windows 8.1 64 bit Windows 7 64 bit |
| 独立操作 | - |
| 注意 | Focus Peaking manual focus assist OSIA - Smart Image Averaging (active noise reduction) |
SC180 Microscope Digital Camera由奥伟登光学科技(上海)有限公司 为您提供,如您想了解更多关于SC180 Microscope Digital Camera报价、参数等信息 ,欢迎来电或留言咨询。

















第1年


细胞培养监控系统Provi CM20
OLYMPUS CKX53倒置显微镜 细胞培养
OLYMPUS IX53显微镜
IX73高级活细胞成像用倒置显微镜系
IXplore SpinSR 超分辨显微镜系统
FLUOVIEW FV5000智能全光谱共聚焦系
FVMPE-RS 多光子激光扫描显微镜
OLS4500扫描探针显微镜

鲁公网安备37021402001368号