- 产地:
- 安徽
- 型号:
- HEM6000
高速扫描电子显微镜
HEM6000
HEM6000是一款可实现跨尺度大规模样品成像的高速扫描电子显微镜。
采用高亮度大束流电子枪、高速电子偏转系统、高压样品台减速、动态光轴、浸没式电磁复合物镜等技术,实现了超快的数据采集和成像速度,同时保证了纳米级分辨率。
面向应用场景的自动化操作流程设计,使得大面积的高分辨率图像采集工作更高效、更智能。成像速度可达常规场发射扫描电镜的5倍以上。

性能特点
图像采集速度:10 ns/pixel,2*100 M pixel/s
加速电压:100 V~6 kV(减速模式) ; 6 kV~30 kV(非减速模式)
分辨率:1.3 nm@3 kV,SE ; 2.2 nm@1 kV,SE
视场大小:最大视场1*1 mm²,高分辨微畸变视场32*32 um²
样品台精度:重复定位精度:X ±0.6 um;Y ±0.3 um

高速扫描驱动器 电子过滤系统
驻点时间10 ns/pixel, SE/BSE信号自由切换,
最快采集速度2*100 M pixel/s MIX成像信号比例可调

全静电高速偏转系统 样品台减速技术
可实现高分辨大场模式, 降低入射电子落点电压,
4 nm像素点最大视场达32*32 um² 同时提高回收电子的收集效率

浸没式电磁复合物镜
物镜磁场浸没样品
实现了低像差高分辨率
产品优势
01 高速自动化
全自动上下样流程和采图作业,综合成像速度优于常规场发射扫描电镜的 5 倍
02 大场低畸变
跟随扫描场动态变化的光轴,实现了更低的场边缘畸变
03 低压高分辨
样品台减速技术,实现低落点电压,同时保证高分辨率

应用领域

半导体工业

生命科学

材料科学

地质科学
应用案例

芯片(金属层)/ 116x / BSE / 120 ns

芯片(器件层) / 2000x / BSE / 40 ns

芯片(金属层)/ 1200x / BSE / 120 ns

芯片(器件层) / 1200x / BSE / 120 ns

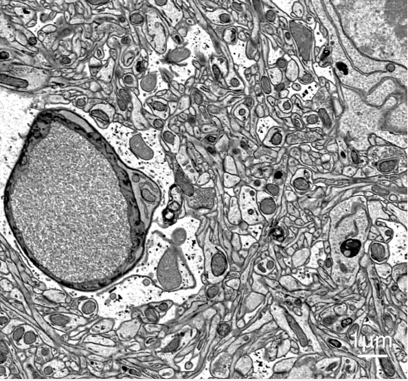
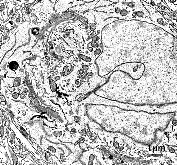
生物切片 / 9500x / BSE / 120 ns

生物切片 / 10000x / BSE / 120 ns

生物切片 / 10000x / BSE / 120 ns

生物切片 / 116x / BSE / 120 ns

| 指标 | HEM6000 | 常规场发射扫描电镜 |
| 像素尺寸(单张) | 8192*8192 | |
| 像素点时间 | 120 ns(点/行/帧平均数:6/2/1) | 800 ns |
| 像素大小 | 16 nm | |
| 拍摄总面积 | 2 mm² | |
拍摄总时间 | 25分32秒 | >140分 |
产品参数
| 关键参数 | 分辨率 | 1.3nm @ 3 kV,SE;1.9nm @ 3 kV,BSE; | |
| 2.2 nm @ 1 kV,SE;3.3 nm @ 1 kV,BSE; | |||
| 加速电压 | 100 V~6 kV(减速模式) | ||
| 6 kV~30 kV(非减速模式) | |||
| 放大倍率 | 66~1,000,000x | ||
| 电子枪类型 | 高亮度肖特基场发射电子枪 | ||
| 物镜类型 | 浸没式电磁复合物镜 | ||
| 样品装载系统 | 真空系统 | 全自动控制,无油真空系统 | |
| 样品监控 | 样品仓监控水平摄像头 ; 换样仓监控垂直摄像头 | ||
| 样品最大尺寸 | 直径4英寸 | ||
| 样品台 | 类型 | 电机驱动3轴样品台(*可选配压电驱动样品台) | |
| 行程 | X、Y轴:110mm; Z轴:28mm; | ||
| 重复定位精度 | X轴:±0.6μm; Y轴:±0.3μm; | ||
| 换样方式 | 全自动控制 | ||
| 换样时间 | <15 min | ||
| 换样仓清洗 | 全自动控制等离子清洗系统 | ||
| 图像采集与处理 | 驻点时间 | 10 ns/pixel | |
| 图像采集速度 | 2*100 M pixel/s | ||
| 图像大小 | 8K*8K | ||
| 探测器和扩展 | 标配 | 镜筒内混合电子探测器 | |
| 选配 | 低角度背散射电子探测器 | ||
| 镜筒内高角度背散射电子探测器 | |||
| 压电驱动样品台 | |||
| 高分辨大场模式 | |||
| 样品仓等离子清洗系统 | |||
| 6英寸样品装载系统 | |||
| 主动减震台 | |||
| AI降噪;大图拼接;三维重构 | |||
| 软件 | 语言 | 中文 | |
| 操作系统 | Windows | ||
| 导航 | 光学导航、手势快捷导航 | ||
| 自动功能 | 自动样品识别、自动选区拍摄、自动亮度对比度、自动聚焦、自动像散 | ||
服务
扫描电子显微镜实验室
我们在合肥、无锡、广州和上海设有扫描电子显微镜实验室,实验室配备多名电镜技术专家和高级电镜应用工程师,提供包含电 镜应用技术开发、样品拍摄在内的多种服务。主要应用领域有锂电池、新型纳米材料、半导体材料、矿物冶金、地质勘探、生物医药等。 实验室依托国仪量子电镜产品,在电镜应用领域开展具有自主知识产权的科研项目,致力于实现科学研究和人才培养的目标。与此同时,实验室也为有电镜应用需求的科研院所、大专院校、企事业单位提供优质的服务。
国产高速扫描电子显微镜 HEM6000由国仪量子技术(合肥)股份有限公司 为您提供,如您想了解更多关于国产高速扫描电子显微镜 HEM6000报价、参数等信息 ,欢迎来电或留言咨询。

















第1年


国仪量子 国产Diamond II量子钻
国仪量子 国产V-Sorb 4800TP全
国仪量子 国产磁测量 阻抗测量
国仪量子 国产V-Sorb 2800全自动
国仪量子 国产激光雷达 任意波形
国仪量子 国产单像素光子成像教
国仪量子 国产V-Sorb 4804全自动
国仪量子SEM5000Pro 场发射扫描电镜
精选
国产超高分辨场发射扫描电子显微镜

鲁公网安备37021402001368号